Uma mulher de 45 anos acabou tendo um sério problema de saúde após atingir o orgasmo em uma relação sexual que teve com o esposo. Quando atingiu o clímax sexual, uma artéria importante do corpo, na altura da perna se rompeu e ela quase morreu, precisando ser hospitalizada às pressas.
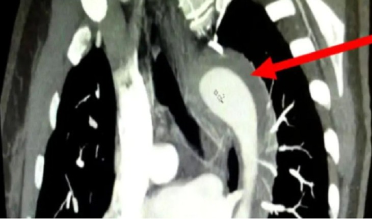
Aorta da mulher se rompeu durante um orgasmo
O fenômeno médico aconteceu no Mississippi, Estados Unidos. O caso foi registrado no American Journal of Case Report, na reportagem enviada para o jornal, a mulher contou que durante a relação estava com as duas pernas pressionadas e ouviu um estalo no peito que a assustou.
Depois disso, outros sintomas como uma dor nas costas que foi irradiando, dispneia, náuseas e pontadas também foram relatadas pela mulher.
Ela correu para o hospital apresentando sintomas preocupantes
Após uma série de exames, os médicos constataram que a aorta havia se rompido. Após descobrir o problema, os médicos puderam medicar a paciente de maneira correta a fim de atingir o problema. Para quem não sabe, aorta é a artéria mais importante do corpo humano, é por ela que boa parte do sangue é bombeado pelo coração para as outras extremidades do corpo. O rompimento dessa artéria pode ocasionar hemorragias e levar à morte.
Felizmente, devido à pressa da mulher em procurar o hospital logo depois dos primeiros sintomas e a correta percepção dos médicos em encontrar uma evidência de hipertrofia ventricular esquerda, com rapidez, a vida da mulher pôde ser salva. Ela foi internada, medicada e passa bem.
