Ameba comedora de cérebro acaba com a vida de mulher que lavou o nariz na torneira
Mulher de 71 anos falece no Texas após infecção por ameba comedora de cérebro.
Mulher de 71 anos falece no Texas após infecção por ameba comedora de cérebro.
Falece aos 19 anos a influenciadora Anna Grace Phelan, que compartilhava sua luta contra o câncer cerebral.
Caso de meningite eosinofílica foi diagnosticado após intensos exames médicos.
Wuilker Knoner, presidente da Sociedade Brasileira de Neurocirurgia, também falou sobre o processo de recuperação nestes casos.
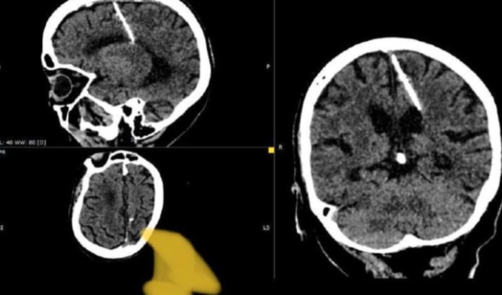
Uma mulher idosa na Rússia descobre ter uma agulha de 3 cm no cérebro após exame de tomografia.
Existem outras bebidas além do tradicional cafezinho que fazem bem para o nosso principal órgão.
Estudo realizado no Reino Unido fez uma importante descoberta para a ciência.
Idoso faleceu durante exame no cérebro e deu aos cientistas uma nova linha de estudo.
É normal associarmos as duas condições, contudo, as mesmas são diferente e possuem tratamento diversos.
Os testes mentais fazem grande sucesso, pois são capazes de desafiar a agilidade cerebral dos participantes.
Apresentadora passou por cirurgia no Hospital Copa Star, no Rio de Janeiro, nesta segunda-feira (11).
Tomografias divulgadas pelo Texas Children’s Hospital mostram a diferença que o amor dos pais faz no desenvolvimento dos filhos.
Suas escolhas determinam a maneira como você age ou pensa sobre a vida.
Os médicos informaram que a doença se chama ‘neurocisticercose’ e acontece quando alguém engole ovos de parasitas.
Saiba que é normal e saudável tirar aquele soninho pós-almoço para descansar um pouco e recarregar as baterias.
Estudo foi realizado durante dez anos e os resultados parecem muito seguros, apesar dos investigadores insistirem em novas pesquisas.
Tem alimentos bons e outros ruins, que podem condicionar a saúde do cérebro.
Um estudo revelou que abelhas são capazes de realizar operações matemáticas mais complexas.

Acompanhe tudo pelo WhatsApp. Entre em nosso canal e fique por dentro das principais notícias em primeira mão!
Entrar no canal