Padre embriagado é preso após quebrar garrafas e ameaçar funcionários de posto de gasolina
A Polícia Militar foi acionada e o padre foi detido após ameaçar funcionários do estabelecimento.
A Polícia Militar foi acionada e o padre foi detido após ameaçar funcionários do estabelecimento.
Robinho, que atuou na seleção brasileira e em clubes europeus, cumpre pena no presídio de Tremembé.
O presidente brasileiro se mostrou descontente e apontou estranheza no vazamento da conversa.
Lula conversou com o presidente russo e fez um pedido envolvendo a reunião que visa um cessar-fogo na Ucrânia.
Emitida no início do ano, a ordem de Trump prevê medidas contra os militares trans das Forças Armadas dos EUA.
A fumaça tem a função de anunciar aos fiéis a escolha do novo Papa ou a continuação do conclave
Mesmo após receber os votos necessários para se tornar Papa, Aloísio Lorscheider recusou o posto.
Ela precisou remover as próteses de silicone após sentir dores na região dos seios e outros sintomas.
Cristiano Ronaldo e Georgina anunciaram a morte de um dos gêmeos esperado por eles, nesta segunda-feira (18).
Givaldo Alves é morador de rua e ganhou popularidade após ser flagrado com esposa de personal trainer.
O idoso viralizou nas redes sociais após comemorar seu aniversário de 121 anos com o tema ‘Terror do INSS’.
Altamente ricos em proteínas, os ingredientes podem facilmente substituir alimentos de origem animal.
Esses brinquedos fizeram a cabeça da criançada décadas atrás e agora valem muito dinheiro.
Embora seja vendida uma imagem de saudáveis, estes alimentos não são os mais indicados para este fim.
Segundo levantamento da OMS, cerca de 16 milhões de brasileiros possuem o diagnóstico da doença.
Apesar do emagrecimento, temporário e nada saudável, essas dietas têm como resultado final o efeito sanfona.
Embora pareçam inofensivos, eles possuem grande quantidade de açúcar escondido em sua composição.
A dona da casa que toda mãe pergunta se pensamos que estamos lá teve sua identidade revelada.
Da composição do prato, no século 8, até a forma correta de consumi-lo de acordo com a cultura japonesa.
A pesquisa avaliou os efeitos positivos e negativos da mastigação de um chiclete para o organismo humano.
Com apenas três ingredientes, este chá é extremamente saboroso e possui um perfume de dar água na boca.
De acordo com o especialista, certas posições na hora do sono podem tensionar músculos e articulações.
O estudo apontou as diferenças no risco de contaminação das pessoas que consomem vinho tinto e outras bebidas.
A cachorrinha Monika foi encontrada sem uma parte de cada uma das patas e foi desenganada pelos veterinários.
Alvo da curiosidade de crianças e adultos, as bolas laranjadas possuem uma função de extrema importância.
Após o acontecimento, a jovem afirmou que não sabe se pretende voltar à academia que frequentava.
Em um país com índices absurdos de violência, municípios há décadas sem assassinatos são ilhas de paz.
Já era difícil diferenciar a gripe do resfriado, com a chegada da Covid essa tarefa ficou ainda mais difícil.
Cerca de 30% dos casos de câncer de pulmão não possuem relação com o tabagismo.
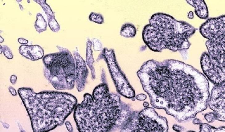
Com 50% de mortalidade e ainda sem vacina desenvolvida, esta pandemia poderia ser ainda mais letal que a do coronavírus.

Acompanhe tudo pelo WhatsApp. Entre em nosso canal e fique por dentro das principais notícias em primeira mão!
Entrar no canal