Pular para o conteúdo
1News Brasil
  • NOTÍCIAS
  • TV E FAMOSOS
  • VIDA E SAÚDE
  • ESPORTES
  • CASA E COZINHA
  • CURIOSIDADES
  • HUMOR
  • ESPECIAIS

câncer

Kate Middleton optou por não usar peruca em tratamento de câncer; diz jornal

26 de abril de 2024 Por Tati Jesus

A Princesa de Gales está enfrentando um câncer e passa pelo tratamento de quimioterapia.

6 coisas que podem causar câncer e você provavelmente não imagina

5 de fevereiro de 2024 Por Renato Silva

Você precisa ficar atento, pois existem algumas coisas que podem favorecer o surgimento da doença.

Jovem pensava que dor nas costas era causada por colchão ruim, descobre câncer agressivo e falece aos 21 anos

2 de fevereiro de 2024 Por Henrique F.

O jovem foi diagnosticado com um câncer em metástase e faleceu uma semana depois da consulta médica.

Sintomas silenciosos: estes são os 3 tipos de câncer com diagnóstico mais difícil; conheça os sinais

11 de outubro de 2023 Por Renato Silva

Este artigo vai elencar três tipos de câncer que são mais difíceis de detectar.

Câncer de endométrio: o que é, sintomas e como prevenir a doença que acometeu a atriz Marieta Severo

25 de setembro de 2023 Por Renato Silva

A atriz abriu o coração e revelou recentemente o problema de saúde que enfrentou.

Feridas no nariz: quando esse sintoma pode indicar câncer?

22 de setembro de 2023 Por Tati Jesus

Conheça algumas causas das feridas dentro do nariz e saiba quando elas podem ser câncer.

Histerectomia abdominal: entenda o que é e quando é indicado realizar a cirurgia feita por Preta Gil

21 de agosto de 2023 Por Rafael Ferreira

A cantora passou por uma histerectomia abdominal total para a retirada do útero, que durou cerca de 14 horas.

Cirurgião oncologista explica como é a remoção do tumor de Preta Gil, que poderá fazer uma colostomia

16 de agosto de 2023 Por Brena

A cantora foi diagnosticada com a doença no mês de janeiro e, desde então, tem feito tratamento.

Sente isso na barriga após comer? Cuidado, pois é um dos primeiros sinais de câncer no ovário

26 de julho de 2023 Por Aurilane Alves

É importante receber um diagnóstico precoce para melhor resultado do tratamento.

Mãe descobre câncer raro em bebê de 11 meses após detalhe em foto e faz alerta aos pais

22 de julho de 2023 Por Gabriele

A mãe descobriu um câncer raro em sua filha bebê e decidiu usar momento para alertar outros pais.

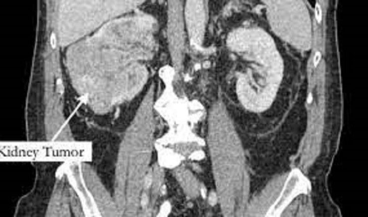
Você sente isso durante a noite? Cuidado, pois pode ser sintoma de câncer no rim

20 de julho de 2023 Por Aurilane Alves

Urologista explica que esse pode ser um sinal sutil da doença.

Este é o primeiro sintoma de câncer no ovário que você jamais deve ignorar; fique atenta

19 de maio de 2023 Por Aurilane Alves

É importante detectar o problema cedo para que as chances de recuperação sejam maiores.

Este foi o sintoma do ex-cantor Conrado antes de descobrir o câncer no reto

30 de março de 2023 Por Diogo Marcondes

Ex-cantor, marido de Andréa Sorvetão passará por cirurgia em hospital de São Paulo, no domingo (2).

Sintoma comum pode ser indicativo de câncer grave; jamais ignore este sinal

28 de março de 2023 Por Renato Silva

A dor abdominal pode estar associada a diversas doenças, inclusive alguns tipos de câncer.

Horóscopo do dia (3/03): Câncer com gastos inesperados, novo amor para Leão e desconforto em Virgem

3 de março de 2023 Por Anna Müller

Confira o que os astros têm a dizer sobre o seu signo e planeje o seu dia de acordo com as orientações do horóscopo.

Horóscopo de hoje (2/03): reversão de problema em Câncer, conquistas no amor para Leão e oportunidades para Virgem

2 de março de 2023 Por Anna Müller

Confira as previsões astrológicas de hoje, 2 de março, para os signos de Câncer, Leão e Virgem.

Horóscopo do dia (01/03): clima hostil em Câncer, saúde comprometida em Leão e crise no amor para Virgem

1 de março de 2023 Por Anna Müller

Confira o horóscopo de hoje, 1º de março, para os signos de Câncer, Leão e Virgem.

Áries, Touro, Gêmeos e Câncer: como estes 4 signos se preocupam com a aparência

28 de fevereiro de 2023 Por Anna Müller

O autocuidado vai muito além da aparência, mas a parte estética também conta e é motivo de preocupação para muitas pessoas.

Horóscopo do dia (28/02): momento de decisões em Câncer, mudanças inesperadas em Leão e novo amor em Virgem

28 de fevereiro de 2023 Por Anna Müller

Confira as previsões para os signos de Câncer, Leão e Virgem no horóscopo de hoje, 28 de fevereiro.

Rita Lee: médica especialista em câncer de pulmão explica a diferença entre remissão e cura da doença

25 de fevereiro de 2023 Por Brena

A cantora está internada desde o dia 24, no Hospital Albert Einstein, em São Paulo.

Aos 7 anos, menina é diagnosticada com câncer de mama e liga sinal de alerta

13 de fevereiro de 2023 Por Tati Jesus

A pequena Maura passou por uma cirurgia de remoção do seio aos 7 anos de vida.

Câncer no pulmão com metástases no cérebro: entenda qual era a doença que tirou a vida de Glória Maria

2 de fevereiro de 2023 Por Laila Amorim

A jornalista morreu lutando contra um câncer no pulmão com metástases cerebral; tratamento parou de fazer efeito.

Câncer de cólon: o que é, quais fatores de risco e sintomas da doença que acometeu Pelé

23 de dezembro de 2022 Por Shyrlene Souza

É importante ficar atento aos sinais da doença e buscar ajuda médica, pois o diagnóstico precoce aumenta as chances de cura.

Câncer ginecológico: 5 tipos que acometem o aparelho reprodutor feminino e muitas mulheres desconhecem

23 de dezembro de 2022 Por Shyrlene Souza

As mulheres precisam ficar atentas e fazer os exames anuais com o ginecologista.

Conheça os 5 tipos de câncer mais comuns no país e quais sãos os sintomas que servem de alerta

20 de dezembro de 2022 Por Renato Silva

Conheça quais sãos os tipos mais comuns no país e os sintomas da doença.

Com câncer de pulmão, paciente é diagnosticada e curada no mesmo dia; ela já teve 3 tumores anteriormente

28 de novembro de 2022 Por Shyrlene Souza

A mulher ficou muito feliz ao descobrir que estava curada quando acordou da anestesia.

Diagnosticado com câncer, menino está desenganado pela medicina e pai comove com último desejo

24 de novembro de 2022 Por Shyrlene Souza

Os pais esperam ter o filho pelo máximo de tempo possível e tem esperança dele estar presente nas festas de fim de ano.

7 sintomas de câncer do colo do útero que jamais devem ser ignorados pelas mulheres

24 de novembro de 2022 Por Renato Silva

Esse artigo vai elencar sintomas que estão associados a esse tipo de tumor maligno.

Após ter caroço ignorado, menina de 9 anos descobre tumor e precisa amputar a perna

27 de julho de 2022 Por Tati Jesus

Os médicos afirmavam que o caroço era acúmulo de fluídos e mandaram a menina voltar para casa.

Posso perder parte íntima se não lavar? Especialista responde a essa pergunta e o que diz é preocupante

23 de julho de 2022 Por Nado C.

A falta de higiene nas regiões íntimas é perigosa e pode causar problemas de saúde seríssimos e irreversíveis.

Post mais antigas
Post mais recentes
← Previous Page1 Page2 Page3 Page4 … Page8 Next →

Contato | Política de privacidade

E-mail: contato@i7.network
Telefone: (11) 3280-0001
Publipost/Guest post: CLIQUE AQUI/CLICK HERE

  • Instagram
  • Twitter
  • Facebook
© 2026 | 1News Brasil | Um site do grupo i7 Network
Comunicar erro
Comunique à Redação erros de português, de informação ou técnicos encontrados nesta página:
Enviado com sucesso para a RedaçãoNós agradecemos sua colaboração. Sua mensagem será analisada pela Redação e os erros confirmados serão corrigidos.